Health
How long can a person with leukemia live?

Leukemia: symptoms and life expectancy for people diagnosed with this many-form disease.
Leukemia is a type of cancer that affects blood cells, especially white blood cells. This disease results from mutations in blood stem or progenitor cells, leading to an uncontrolled proliferation of abnormal cells, called leukemia cells or blasts, which interfere with the growth and development of normal blood cells. There are different types of leukemia, including acute lymphoblastic leukemia and acute myeloid leukemia, chronic lymphocytic leukemia and chronic myeloid leukemia. Let's find out together what the main symptoms are and especially the life expectancy after diagnosis.
What are the symptoms of leukemia
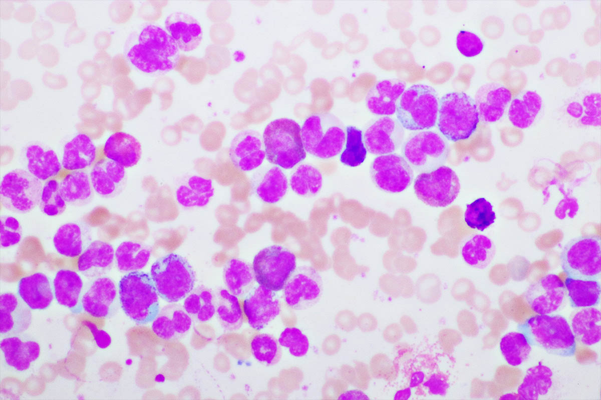
Leukemia is a type of cancer that affects blood cells and bone marrow. It can reach different levels of severity and its symptoms can vary in type, duration and intensity. People with this disease most often have an abnormally high number of white blood cells or a low number of red blood cells or platelets.

Common symptoms associated with leukemia include fatigue , weakness, lack of energy, anemia (low red blood cell count leading to a general decrease in energy levels), bruising or bleeding easily due to low platelet counts, but also decreased appetite or nausea and vomiting caused by a weakened immune system.
There are various types of leukemia and each has a different set of symptoms related to it, and for this reason too it is important to make a diagnosis in order to be able to immediately realize the seriousness of the situation. Diagnosis requires close collaboration between the physician, laboratory technician, clinical researchers, and success largely depends on choosing the correct approach in the shortest possible time after analyzing all the factors discussed above.
How long can a person with leukemia live?
Life expectancy for someone with this serious disease depends on many factors, including the type and stage of the disease, the age and health of the patient, and how quickly doctors can diagnose and treat it. Those in good general health who are diagnosed early with an aggressive form of leukemia such as acute myeloid leukemia can live another 8-10 years with proper treatment. On average, people with this type of disease typically survive only 1 to 2 years after diagnosis without treatment or if treatments don't work well.
If the diagnosis is chronic lymphocytic leukemia, a more slowly progressing form, life expectancy increases significantly depending on how far the disease has progressed at the time of diagnosis and age at first diagnosis. Most people live 8-10 years or more after undergoing successful treatment options such as chemotherapy or targeted therapeutic drugs that target the DNA breaks in cancer cells. For older patients (over 65) or those whose disease is advanced, overall survival drops to 3-5 years after diagnosis depending on how quickly it progresses without treatment.
In short, being able to reconstruct the life expectancy of a patient suffering from this disease is complicated, without having further details. What can be said with certainty, however, is that, although having leukemia obviously does not imply any guarantee of an "average" lifespan, today it offers much more optimistic prospects than once might have been expected.
Riproduzione riservata © - WT
